疝氣(hernia)是相當古老且常見的疾病,男女老少都有發生的機會,老一輩的人稱之為“脫腸”,也就是本該位於腹內的器官,諸如:網膜、胃、小腸、大腸、或輸卵管等,鑽過一些腹壁較無力的部分,跑到其他地方,其實也就是“誤入歧途”的意思。各式各樣的疝氣,是五花八門。有些看得到摸得著,有些藏在體內沒知覺;有些時候不痛不癢,有些時候可是追魂奪命。今個兒,讓咱們藉由電腦斷層來稍稍窺其一二。
最普遍見到的是腹股溝疝氣(inguinal hernia)。或許您的家人朋友曾因此動過手術,也或許您身上便有這麼一道小疤。這是腹內容物墜入腹股溝管或陰囊內而造成突起。在站立或咳嗽時,突起會變得明顯;當躺下或用手擠壓時,突起會變小或消失。這樣的狀況可能會有疼痛或不適。
但最要預防的是發生嵌頓型疝氣(incarcerated hernia)。嵌頓型疝氣是最嚴重的併發症,當墜入疝氣囊的腹內容物沒有辦法縮回,而卡在裡面時,可能會導致嚴重疼痛、腸道阻塞、甚至腸子壞死,會有性命危險。這種時候便需要緊急手術,如果已經有壞死的現象,還需要切除壞死的部分,才能及時挽救性命。不過手術的危險及併發症的比例都會大大提高。
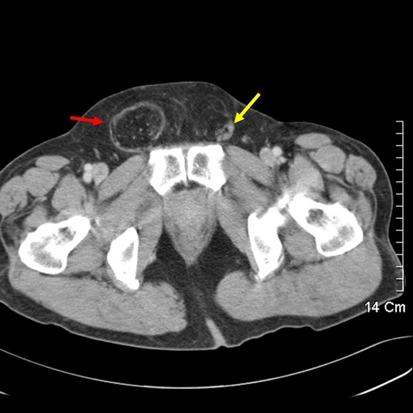
上圖紅色箭頭處圓圓大大黑黑的便是腹股溝疝氣,因為他疝氣囊裡的是大網膜,所以是黑色的一大坨。(小小複習:請問黃色箭頭指的是?您可以在男生女生大不同 裡找到答案。)
讓咱們換個切面來看,可以見到一長串墜入陰囊內的便是大網膜。從這張圖裡可以見到相當健壯的肌肉,可以推測是為壯年男性,或許是健身,或許是勞力工作,因使氣力會讓腹壓上升,加劇疝氣的程度。
上圖是左側腹股溝疝氣,藍色箭頭處可以見到一些空氣,代表有小腸落入疝氣囊中。這種情況會讓腸道不順,脹氣,時好時壞。有那麼一天可能成為嵌頓型疝氣,那是相當緊急,需要快快處理。
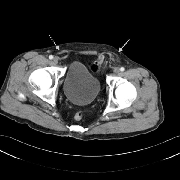
腹股溝疝氣又分為直接型(direct type)及間接型(indirect type)。上面這張圖恰好可以同時見到這兩型。灰色實心箭頭處是直接型(direct type),灰色虛線箭頭處是間接型(indirect type)。
疝氣沒有辦法經由藥物或秘方來治癒,只能透過手術修補來解決。疝氣修補手術從十九世紀末已然開始發展。平常時候,疝氣的手術多在半身麻醉下即可完成。術後恢復良好,併發症少,危險性低,多數人都能在兩三天內出院,也能很快回到工作崗位,對日常生活不會有太大影響。因此只要有疝氣的情形,醫師都會建議早日接受手術治療,以防止嵌頓型疝氣發生。根據統計,台灣地區一年約有四萬多例疝氣治療手術。疝氣修補術後,要避免搬過重的物品,因為腹內壓力過大,容易導致疝氣的復發。
疝氣不算是大病,卻也是能要人命。千萬可得尋求正確的治療,莫要聽信偏方,誤入歧途。
※
在鼠蹊部位,還可見到另一類型的疝氣。當疝氣囊位於腹股溝韌帶(Inguinal ligament)下方時,稱之為股疝氣(Femoral hernia)。
下面這張圖有點兒複雜,先看到黃色虛線,這大約是腹股溝韌帶(Inguinal ligament)的所在。在腹股溝韌帶上方,可以見到精索(黃色箭頭),這個位置也是方才提到腹股溝疝氣的位置。在腹股溝韌帶(Inguinal ligament)下方,正常時候只可見到股動脈(Feomral artery)、股靜脈(Femoral vein),圖中橘色箭頭多出來的部分便是股疝氣。
下圖可以見到股靜脈內側,橘色箭頭處,凸出的一塊,這便是股疝氣。這個位置周圍被韌帶及骨頭包圍,空間有限,所以股疝氣一般尺寸不會太大。卻也因為入口處狹窄堅固,便容易導致嵌頓。
(以上影像由放射科 蔡宏名老師提供、指導。特此銘謝!)
加入志志的粉絲團
更多醫學文章:
※※※※※※※※※※※※※※※※ 延伸閱讀 焦點文章: NURSING: IMPOSSIBLE 全省同步,賺人血淚,夭壽上映中! 開刀房裡的故事: 手術 (18禁) 小護士的私密問題: 分寸 (依然18禁) 最多迴響的故事: 家後 志志的書: 《刀下人間》試讀本-單車投資術 志志的演講:珍惜、擁有 從這裡開始 ※※※※※※※※※※※※※※※※







留言列表